島田市 歯医者|総合歯科治療Dr.Saiデンタルクリニック

初診・お問合せはこちら
*

初診ご予約希望の方はこちら

0547-39-5656

*

本院に通院中の方はこちら

0547-54-5565

*

ANNEXに通院中の方はこちら

0547-39-7778

*

メールでお問い合わせ

ウェブフォームへ

分院 アネックス
島田市 歯医者|総合歯科治療Dr.Saiデンタルクリニック
* *

ビムラー矯正(小児矯正)

Neo-Cap.System®とは

# Neo-Cap.System®(ネオキャップ)は、できるだけお子さまに痛みや負担をかけずに矯正を行う「お子さまのための小児矯正治療」です。

歯を強い力で無理に動かすのではなく、お子さま本来の成長力お口の機能(舌・唇・飲み込み・呼吸)を活かして、歯並びと噛み合わせ、顎の成長環境を整えていきます

Neo-Cap.System® の特徴

# • 痛みが少ないので無理なく使用できます
• 昼間は何も着けていないので自然な状態で過ごせます
• 歯並びだけでなく、上下の顎のバランスの調整にも対応します
• 途中でやめても悪くなることはありません
• 指しゃぶりやおしゃぶりの癖が無くなります
• 抜歯を前提としていません

使用する装置について

Neo-Cap.System®小児矯正では、以下の装置を使用して治療を行います。

Neo-Cap装置(ネオキャップ)

# Neo-Cap装置は、歯の形をしたプラスチック製の被せ物で、お子様の歯の上に装着してご自身の歯として使用して頂きます。顎の一以上や噛み合わせの高さを治し、最適な位置へ整え、健康な歯並び絵の下地作りをする役目になります。

N-Bimler装置(エヌ・ビムラー)

# N-Bimler装置は、上下前奥の同時進行で全て3の歯の矯正が出来る装置で、基本的に夜、就寝中に装着する取り外し式の矯正装置です。
口の中に装着して、口唇の動きや下の動きなど、いろいろな力がワイヤーに連動して歯をゆっくり動かしていきます。そして、口の周りの筋肉も鍛えます。

開始時期

# 個人差はありますが、上の前歯が2本、下の前歯が4本生え変わった時がベストなタイミングです。

治療期間

開始年齢・性別・お口の中の状況により個人差あり
詳しくは歯科医師にご相談ください

費用

  • Neo-Cap:5,500円(税込)×個数(最大8個)
  • N-Bimler装置契約料金:550,000円(税込)
  • 調整料(年会費):16,500円(税込)※初年度は開始月により異なる

よくある質問(FAQ)

Q.
A.
Q.
A.
Q.
A.
Q.
A.

当院が選ばれる理由

  • check_box

    Neo-Cap.System®は国際機能矯正臨床研究会 IFOCS(アイフォックス)認可医院のみ取り扱い可能

  • check_box

    静岡県中部では当院のみ

  • check_box

    当院 蔡理事長は
    ・IFOCS 理事
    ・最高資格「Post Grade認定医」取得

  • check_box

    認定医資格は毎年更新制

  • check_box

    若手ドクターの指導も実施

症例紹介

* *
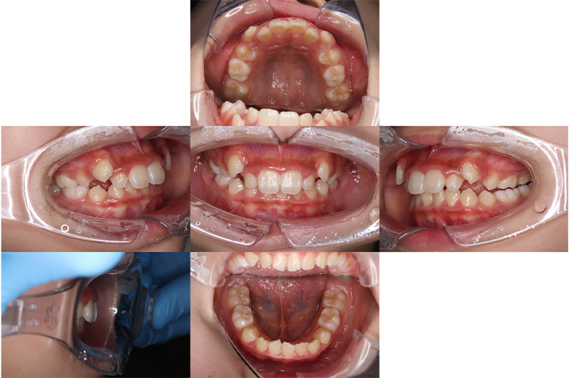
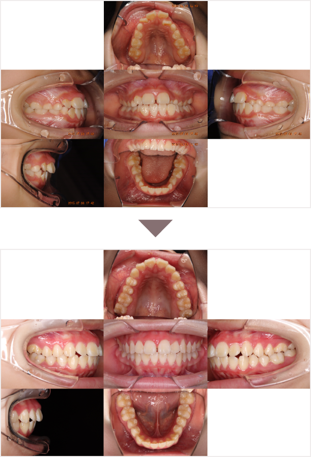
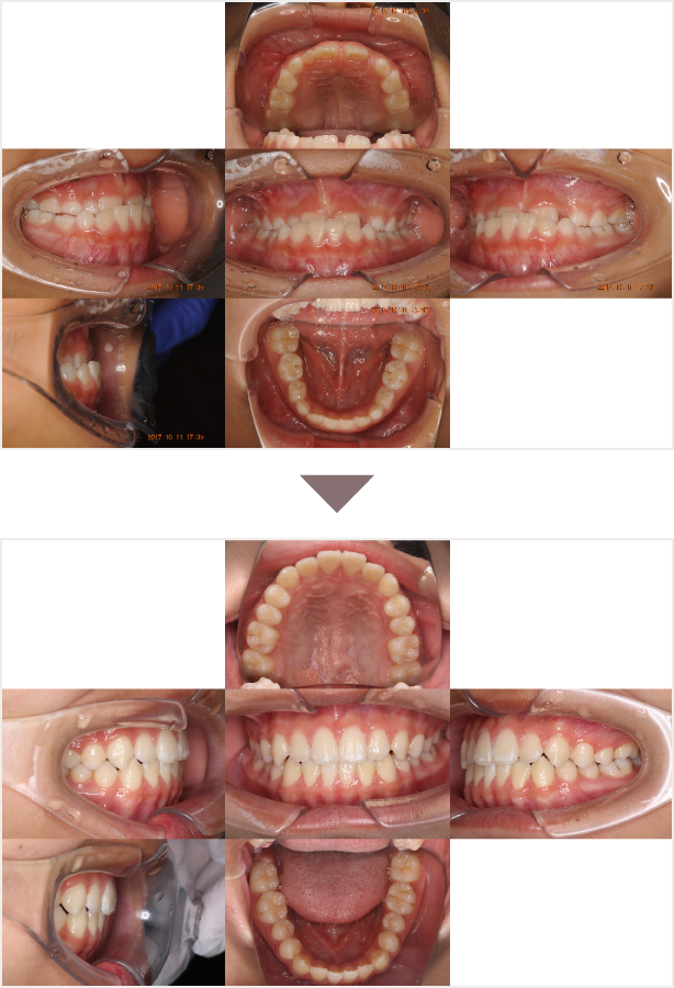
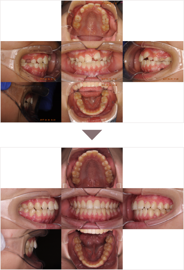
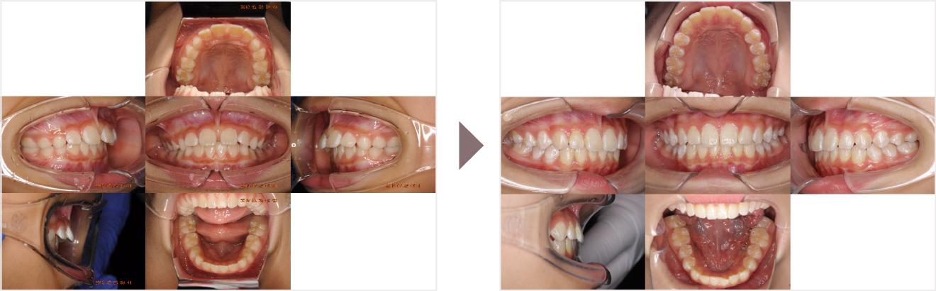
症例叢生
性別
期間8年8ヶ月
治療内容N-Bimler装置、Neo-Capを使用して治療
治療における
副作用・リスク
装着しないと効果は出ません
金額ビムラー装置:550,000円
ネオキャップ:4本
合計:572,000円
* *
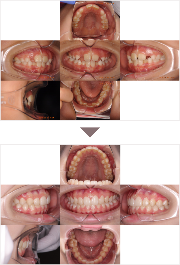
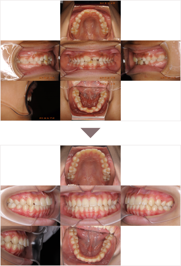
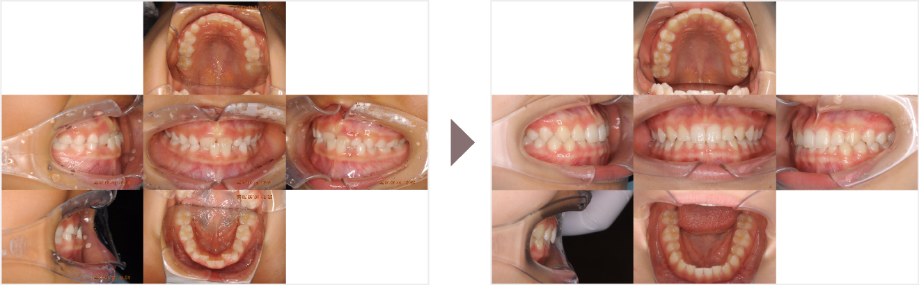
症例叢生
性別
期間6年5ヶ月
治療内容N-Bimler装置、Neo-Capを使用して治療
治療における
副作用・リスク
装着しないと効果は出ません
金額ビムラー装置:550,000円
ネオキャップ:4本
合計:572,000円
* *
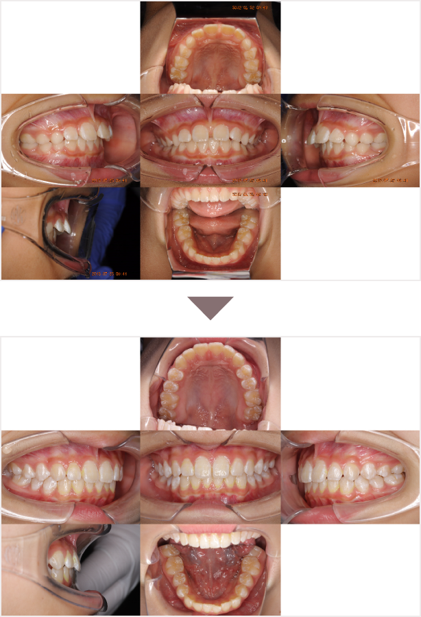
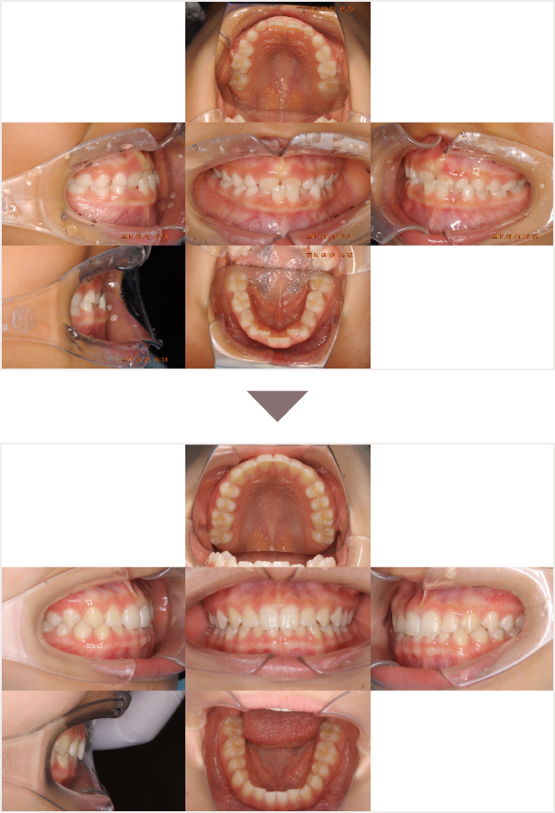
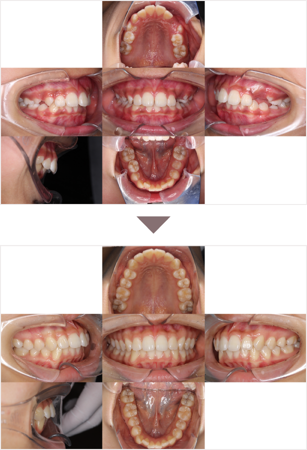
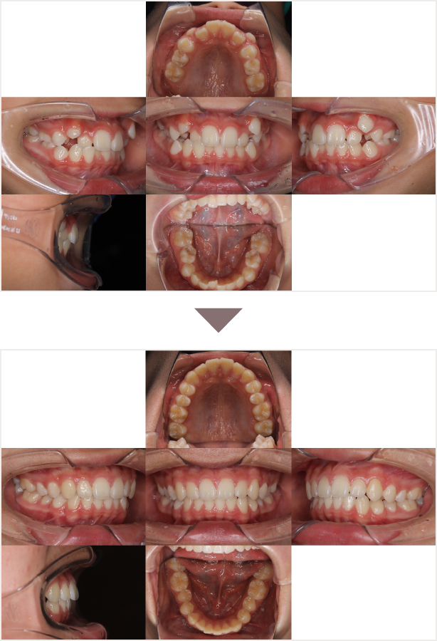
症例叢生
性別
期間7年7ヶ月
治療内容N-Bimler装置、Neo-Capを使用して治療
治療における
副作用・リスク
装着しないと効果は出ません
金額ビムラー装置:550,000円
ネオキャップ:4本
合計:572,000円
* *
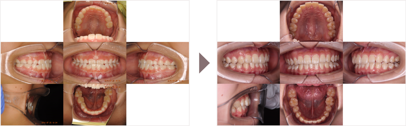
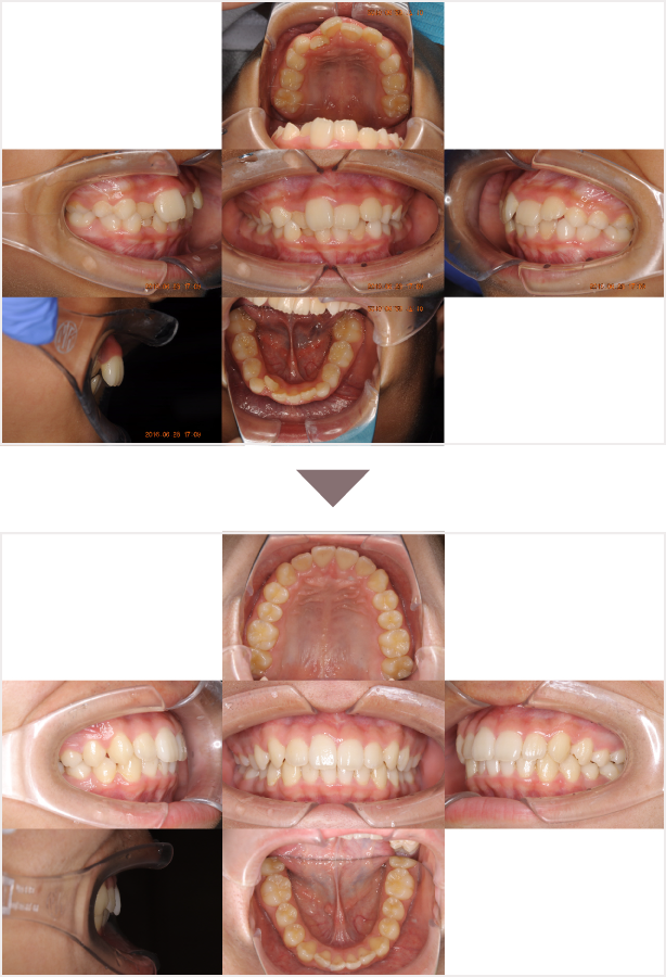
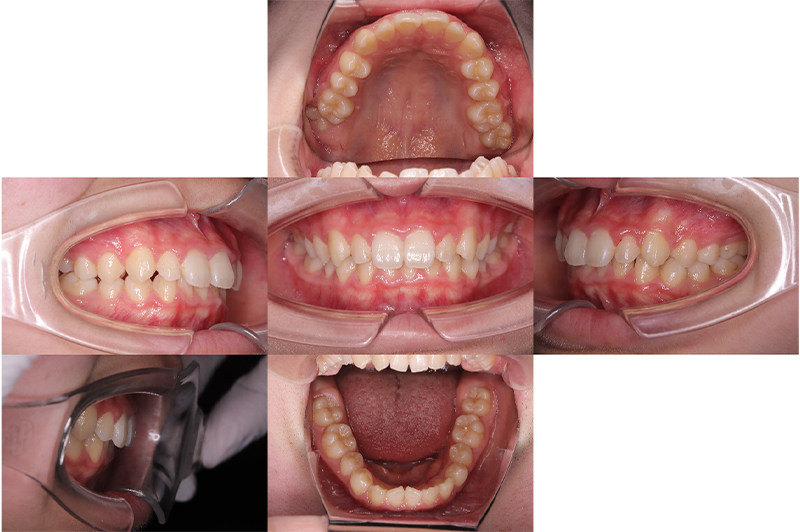
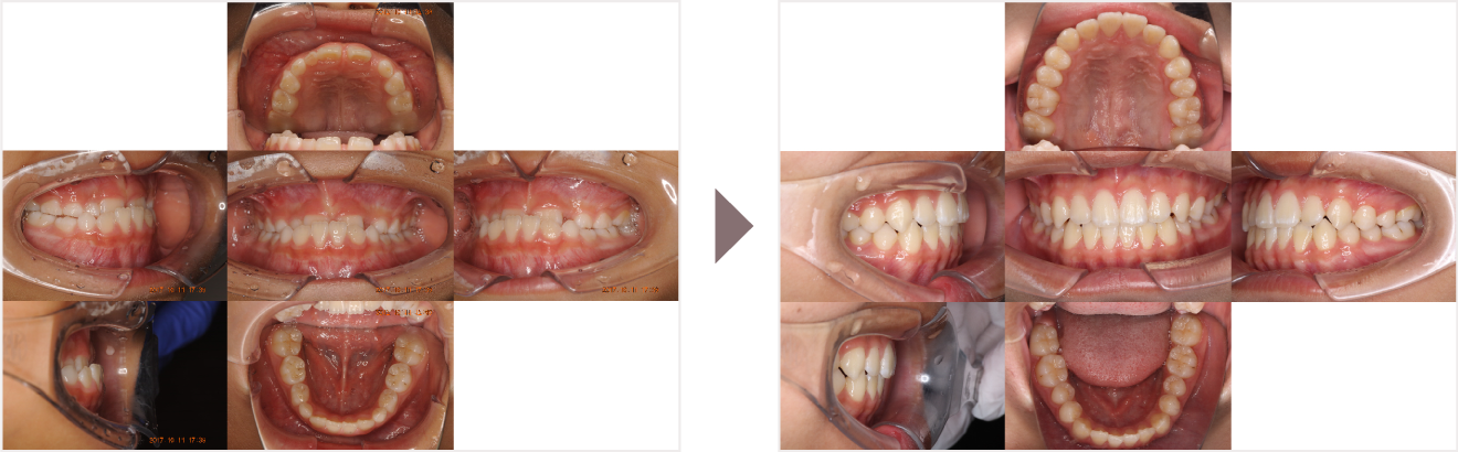
症例叢生
性別
期間6年10ヶ月
治療内容N-Bimler装置、Neo-Capを使用して治療
治療における
副作用・リスク
装着しないと効果は出ません
金額ビムラー装置:550,000円
ネオキャップ:8本
合計:594,000円
* *
症例叢生
性別
期間4年0ヶ月
治療内容N-Bimler装置、Neo-Capを使用して治療
治療における
副作用・リスク
装着しないと効果は出ません
金額ビムラー装置:550,000円
ネオキャップ:8本
合計:594,000円
* *
症例上顎前突
性別
期間4年9ヶ月
治療内容N-Bimler装置、Neo-Capを使用して治療
治療における
副作用・リスク
装着しないと効果は出ません
金額ビムラー装置:550,000円
ネオキャップ:4本
合計:572,000円
* *
症例上顎前突
性別
期間3年10ヶ月
治療内容N-Bimler装置、Neo-Capを使用して治療
治療における
副作用・リスク
装着しないと効果は出ません
金額ビムラー装置:550,000円
ネオキャップ:4本
合計:572,000円
* *
症例下顎前突
性別
期間6年8カ月
治療内容N-Bimler装置、Neo-Capを使用して治療
治療における
副作用・リスク
装着しないと効果は出ません
金額ビムラー装置:550,000円
ネオキャップ:8本
合計:594000円
* *
症例下顎前突
性別
期間7年3か月
治療内容N-Bimler装置、Neo-Capを使用して治療
治療における
副作用・リスク
装着しないと効果は出ません
金額ビムラー装置:550,000円
ネオキャップ:4本
合計:572,000円
* *
症例交差咬合
性別
期間6年0ヶ月
治療内容N-Bimler装置、Neo-Capを使用して治療
治療における
副作用・リスク
装着しないと効果は出ません
金額ビムラー装置:550,000円
ネオキャップ:4本
合計:572,000円
* *
症例交差咬合
性別
期間3年8ヶ月
治療内容N-Bimler装置、Neo-Capを使用して治療
治療における
副作用・リスク
装着しないと効果は出ません
金額ビムラー装置:550,000円
ネオキャップ:8本
合計:594,000円
* *
症例過蓋咬合
性別
期間6年1ヶ月
治療内容N-Bimler装置、Neo-Capを使用して治療
治療における
副作用・リスク
装着しないと効果は出ません
金額ビムラー装置:550,000円
ネオキャップ:4本
合計:572,000円
* *
症例過蓋咬合
性別
期間10歳2ヶ月
治療内容N-Bimler装置、Neo-Capを使用して治療
治療における
副作用・リスク
装着しないと効果は出ません
金額ビムラー装置:550,000円
ネオキャップ:8本
合計:594,000円

小児矯正の治療医

蔡 豪倫 理事長兼院長/歯科医師

*
経歴

(公社)日本口腔外科学会 専門医・指導医、日本障害者歯科学会認定医、インビザライン矯正認定医、市立島田市民病院(現 島田市立総合医療センター)口腔外科部長、現在非常勤医師

口腔外科・インプラント治療を始め、先進的な歯科医療を地域密着でご提供いたします。ゆったりとリラックスした時を過ごしながら、医療を受けていただければ幸いです。

金子 和嘉子 歯科医師

*
経歴

2019年3月
広島大学歯学部歯学科 卒業

職歴
2019年4月
浜松医科大学医学部付属病院歯科口腔外科 入職
2022年4月
藤枝市立総合病院 歯科口腔外科 勤務
2025年4月
医療法人社団 侑嘉会 Dr.Saiデンタルクリニック 就職
藤枝市立総合病院 歯科口腔外科 非常勤医師

一覧へ戻る

お問い合わせフォームへ

Contact

お問い合わせ

*

初診ご予約希望の方はこちら

0547-39-5656

*

本院に通院中の方はこちら

0547-54-5565

*

ANNEXに通院中の方はこちら

0547-39-7778

*

メールでお問い合わせ

ウェブフォームへ